2019 年 11 月 29 号那天,是一个周五,黄杰像平常相同来到医院上班。他是湖北省武汉大学人民医院胸外科的主任。
早晨接班的时分,值勤医师告知他,清晨来了一个患者,状况比较严峻,今日需求赶快处理。
与此一起,重症医学科的主任魏捷也给他打来电话,告诉他参与会诊,最好在 24 小时内手术。
两人说的是同一个患者。
黄杰没想到的是,这场集合了 10 个科室、30 多位医师、耗时一整天的「存亡急救」,竟始于患者一个小小的忽略。
吃鱼,卡住了
患者老林是深夜在儿子的伴随下来到急诊的。来这儿之前,他现已跑了好多家医院。
老林本年 50 多岁,湖北咸宁人。两天前,家里吃了一次鱼,他不当心吞下一根鱼刺,卡在了嗓子里。
卡住后,他也没放在心上,仅仅依照土办法,吞了两口饭。
其时,他并没有感觉到什么不舒服,也就没当回事,还认为这根鱼刺现已像之前相同,跟着饭团咽下去了。
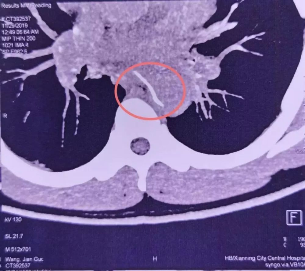
28 号这天,他忽然感觉到剧烈胸痛,所以赶忙到咸宁当地的医院查看。医师很快组织了 CTA(CT 血管造影)。成果发现,一根鱼刺样的异物卡在了老林的食道内,而且现已刺穿了食道壁,扎进了胸主动脉。
图片来自:武汉大学人民医院
胸主动脉是人体最粗大的动脉血管,血管压力很高,一旦构成破口,就会引发大出血,直接危及生命,乃至底子没有抢救的时机。
图片来自:《人体解剖五颜六色图谱》第 3 版
病况扎手,当地的医院不敢接纳,主张老林赶忙到武汉医治。由于状况过于阴险,武汉的几家医院也觉得难度过大,无法处理。
几经曲折,29 号清晨,他来到了武汉大学人民医院。
第二天一大早,重症医学科的魏捷听值勤医师报告了这个病例。她看到查看成果后,发现鱼刺像一把「弯刀」架在食道和主动脉之间,就像主动脉上突兀地长出了一根刺。
这根鱼刺便是老林体内的一颗定时炸弹,随时有或许发作「爆破」,导致大出血,结果不堪设想。
老林有必要赶快进行手术,取出鱼刺,避免状况进一步恶化。但假如盲目拔出鱼刺,很简单构成主动脉破口。
这就需求多个科室的专家洽谈承认手术计划。
稳重起见,魏捷将老林转入重症医学科,对他施行浅冷静,亲近监护。一起,她第一时间呼叫了全院大会诊。
鱼刺不见了?
胸外科、心血管外科、耳鼻喉-头颈外科、消化内科、放射科、麻醉科……
10 个科室的 30 多位医师紧迫集合在一起,敞开了一场「主动脉解救战」。
专家团评论经过具体评论,承认了微创取刺的手术计划:先由心血管外科的医师为老林植入一个主动脉覆膜支架,堵住因鱼刺形成的血管缺口,再由消化内科的医师测验使用胃镜取刺。
手术前,老林在广东打工的爱人也赶到武汉,完成了术前说话和签字。
29 日下午,老林被推入导管室。施行麻醉后,心血管外科的医师将主动脉支架植入老林的体内,堵住现已溃烂的血管缺口。
主动脉支架
图片来自:武汉大学人民医院
放置支架后,老林紧接着进入了手术室。消化内科的医师开端经过胃镜承认鱼刺方位,预备取出。就在这时,意外发作了——
术前现已精准定位在在食道与主动脉间的鱼刺,现在却不见了。
在胃镜中,医师们只看到食道中下段的当地有一个溃烂面,但鱼刺却不见踪迹。
他们置疑,鱼刺或许现已跟着一些动作天然掉落,进入了胃里,所以就先对食道进行了修补,预备把老林送回重症监护室持续调查。
悉数基本完成时,有医师觉得不放心,给黄杰打了电话问询。了解具体状况后,作为胸外科主任,黄杰给出了判别——鱼刺不会被吞到胃里。
跟着食道的活动,或许主动脉内血流的微弱冲击,鱼刺有很大概率会穿出食道,进入纵膈或许主动脉。
无论是哪种状况,都有必要敏捷把它找出来。假如鱼刺留在体内,一定会形成严峻感染,乃至刺破主动脉,引发大出血,结果不堪设想。
而此刻现已没有了微创取刺的或许,有必要赶快开胸探查。
手术计划当即调整,黄杰接力上了手术台。
图片来自:武汉大学人民医院
开胸
现实证明,黄杰的判别是正确的。
开胸之后,他先当心谨慎地松解胸腔的黏连,把食道和主动脉分隔,然后整理洁净分泌物和出血。视界逐渐明晰,他发现,主动脉外有一个 3 毫米左右的小尖刺。
他用血管钳夹住小尖刺,一点点往外拔,竟拔出了一根 4 厘米长的鱼刺——鱼刺果然是穿出了食道,简直悉数扎进主动脉内。
顺畅取出鱼刺后,黄杰又当即对食道和主动脉进行了修补,然后从头固定胸骨、缝合。
取出的鱼刺
图片来自:武汉大学人民医院
手术完毕现已是晚上九点。老林回到了 ICU(重症监护室),在那里住了 3 天。状况安稳后,他转入一般病房,在医院住了一周,顺畅出院。
一个月后,老林再次去武汉复查。由于发现及时,处理妥当,他的感染并不严峻,康复得很好。
他还给黄杰带去了一块匾额,感谢他的「起死回生」。
黄杰说,在他的从医师涯里,这样的工作并不罕见,简直每年都会有一二十例。
就在前年,他曾遇到一个患者,也是鱼刺穿入了主动脉,正预备处理的时分,忽然发作大出血,还没来得及抢救,就逝世了。
鱼刺卡喉,应该怎么办?
日常饮食中,鱼刺卡喉并不罕见,但假如处理不妥,有或许形成严峻的结果。
首要,喝醋并不能软化鱼刺,反而或许影响乃至灼伤现已受损的食道黏膜。
其次,像老林相同 ,用饭团、馒头把鱼刺吞进去,也是十分风险的。由于这样很或许把方位较浅的刺推得更深,更难取出。
你认为卡在嗓子里的鱼刺会这样:
但现实很或许是这样:
乃至这样:
假如鱼刺比较粗大或许比较硬,有很大的或许性刺破食道,形成食道穿孔、纵膈感染,或许像老林的状况相同,直接插入主动脉,随时或许会引起大出血,危及生命。
正确的处理办法是:
假如鱼刺卡得比较浅,张嘴就能看到,能够找人帮助,当心肠用镊子夹出。
也能够试着用力咳嗽,许多时分,细微的鱼刺会跟着气流掉落下来。
假如鱼刺卡得比较深,刺痛感剧烈,就要赶快去医院,交给专业医师处理。
其实,天然卡住的鱼刺一般都不会太深。假如第一时间去医院,不需求花许多钱,耳鼻喉科的医师很快就能搞定。
假如使用了「土办法」自行处理,反而或许由于吞咽等外力加重病况,就需求动用喉镜、消化内镜乃至开胸手术了。不只费钱吃力,人还跟着受罪。
立刻便是新年了,阖家团圆,家人聚餐的时分,一定要当心。吃鱼时,要仔细除掉鱼刺,细嚼慢咽,不要走神,老人和孩子特别要注意。
也能够直接选用鱼刺较少的鱼,比方龙利鱼、三文鱼、鳕鱼等。
除了鱼刺之外,锋利的鸡骨头和枣核也是常见的食道异物。
假如发作了异物卡喉的状况,肯定不能抱有侥幸心理,记住正确处理,及时就医。
本文经由 北京协和医院胸外科主治医师邴钟兴 审阅
参考资料
[1] George Triadafilopoulos, MD.成人异物摄入与食道嵌塞.UpToDate临床参谋.https:///contents/zh-Hans/ingested-foreign-bodies-and-food-impactions-in-adults(Assessed on 2018-10-04)
[2] 楚天都市报. 一根鱼刺引发主动脉解救战.https://ctdsbepaper.hubeidaily.net/pc/content/201912/12/content_11431.html
策划CC
责编罗布君
插画Aaron 萧Dee
封面图来历图虫构思




